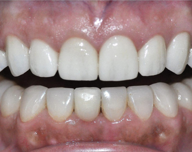
Casos de éxito

En esta sección encontrarás ejemplos de pacientes tratados en la Clínica Ojeda Perestelo. Además, podrás ver la comparativa de antes y después así como el tipo de aparatología empleada. Si no encuentras un caso similiar al tuyo, estaremos encantados de mostrártelo en nuestra consulta.