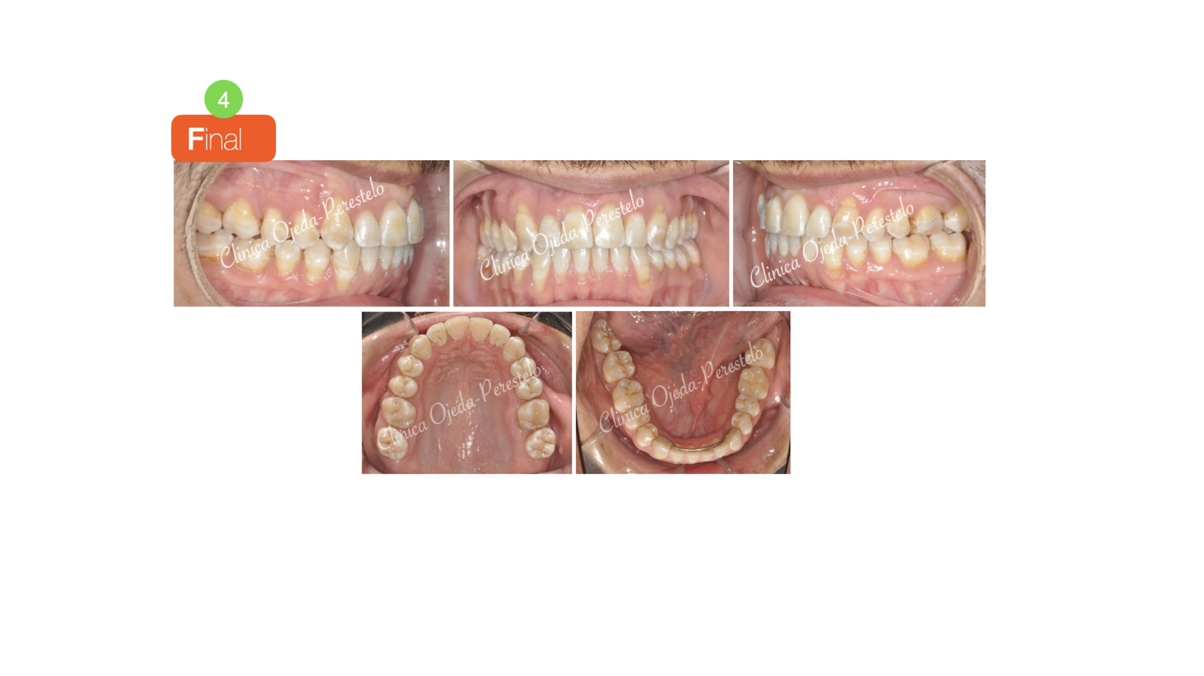
Apiñamiento severo con molares con mal pronóstico

Paciente tratado con brackets de autoligado pasivo (Sistema Damon) donde hemos alineado y nivelado desarrollando las arcadas. Este caso presenta la particularidad de haberse realizado las extracciones de los molares superiores (16,26 ) ya que los mismos  presentaban un mal pronóstico.

Quisieramos destacar cómo en la actualidad podemos realizar extracciones de molares en mal estado y cerrar dichos espacios SIN necesidad de colocar implantes o puentes y sin comprometer la estética ni la amplitud de la sonrisa.