Clínica Ojeda Perestelo
Equipo
Dr. Luis Carlos Ojeda Perestelo
Dra. Trinidad García
Dr. Acorán Borges Gil
Ortodoncia
Ortodoncia Invisible
Ortodoncia en Adultos
Ortodoncia en Niños
Tratamientos
Odontología Integral
Implantología
Periodoncia
ATM y Oclusión
Cirugía Oral
Cirugía Ortognática
Medicina Dental del Sueño
Casos de éxito
Testimonios
Blog
Formaciones
Cursos
Estancias Clínicas
Asesoramiento Ortodóncico
Clínica Ojeda Perestelo
Equipo
Dr. Luis Carlos Ojeda Perestelo
Dra. Trinidad García
Dr. Acorán Borges Gil
Ortodoncia
Ortodoncia Invisible
Ortodoncia en Adultos
Ortodoncia en Niños
Tratamientos
Odontología Integral
Implantología
Periodoncia
ATM y Oclusión
Cirugía Oral
Cirugía Ortognática
Medicina Dental del Sueño
Casos de éxito
Testimonios
Blog
Formaciones
Cursos
Estancias Clínicas
Asesoramiento Ortodóncico

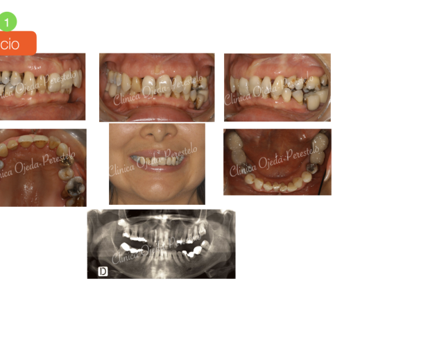
Casos de Éxito

Casos de Éxito

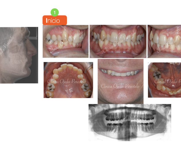
Mordida Abierta de molar a molar Casos de Éxito - Adultos
Clase II esquelética con Cirugía de Avance Md Casos de Éxito - Ortodoncia Plástica (Invisalign/Angel) - Adultos
Asimetría Facial en Clase III ósea y C.Ortognática Casos de Éxito - Mordida Cruzada - Adultos - Cirugía Ortognática
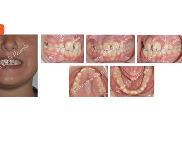
Clase III esquelética en dentición temporal Casos de Éxito - Niños
Clase III esquelética en dentición temporal Casos de Éxito - Niños
Clase II esquelética en niño con apnea moderada Casos de Éxito - Niños
Caso Ortodoncia Lingual Superior con Vestibular Inferior Casos de Éxito - Ortodoncia Lingual
Caso Multidisciplinar: Ortodoncia- Coronas sobre Implantes Casos de Éxito - Adultos - Casos Multidisciplinares
Caso Multidisciplinar: Ortodoncia-Implantes-Pónticos-Bioestética Casos de Éxito - Adultos - Casos Multidisciplinares
2ºMolar Mandibular Retenido Casos de Éxito - Dientes Retenidos
Caso Multidisciplinar: Ortodoncia-Implantes-Bioestética 11-21 Casos de Éxito - Casos Multidisciplinares
Caninos Maxilares Retenidos (13-23) + Bioestética 21-22 Casos de Éxito - Niños - Dientes Retenidos - Casos Multidisciplinares
Premolar Mandibular Retenido (35) Casos de Éxito - Niños - Dientes Retenidos
Clase II con Mordida Abierta Casos de Éxito - Ortodoncia Plástica (Invisalign/Angel) - Adultos
Clase II severa en Mandíbula Hipoplásica Casos de Éxito - Adultos - Cirugía Ortognática
Expansión Maxilar Asistida en Mord.Cruzada Casos de Éxito - Mordida Cruzada - Adultos - Cirugía Ortognática
Mordida Cruzada Unilateral con Apiñamiento Severo Casos de Éxito - Mordida Cruzada - Adultos
Mordida Cruzada Bilateral Casos de Éxito - Mordida Cruzada - Niños
Clase III esquelética en dentición definitiva Casos de Éxito - Niños
Mordida Cruzada con dolor Craneofacial Casos de Éxito - Ortodoncia Plástica (Invisalign/Angel) - Mordida Cruzada - Adultos
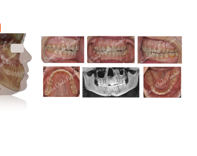
Clase III ósea severa con C.Ortognática Casos de Éxito - Mordida Cruzada - Adultos - Cirugía Ortognática
Asimetría Facial en Clase III ósea y C.Ortognática Casos de Éxito - Mordida Cruzada - Adultos - Cirugía Ortognática - Casos Multidisciplinares
Biprotusión esquelética con Sonrisa Gingival Casos de Éxito - Adultos - Cirugía Ortognática
Clase II osea de causa Md con Cara Larga Casos de Éxito - Adultos - Cirugía Ortognática
Clase II ósea con Resalte muy Aumentado y Extracciones dentarias Casos de Éxito - Adultos - Casos Multidisciplinares
Apiñamiento severo con molares con mal pronóstico Casos de Éxito - Adultos
Mordida Abierta Posterior con M. Cruzada en clase III ósea Casos de Éxito - Mordida Cruzada - Adultos
Clase III ósea tratada con Exo de cordales y Microtornillos Casos de Éxito - Mordida Cruzada - Adultos
Clase II con apiñamiento y sobremordida severa Casos de Éxito - Ortodoncia Plástica (Invisalign/Angel) - Adultos
Sonrisa gingival (encías) con Resalte Aumentado Casos de Éxito - Mordida Cruzada - Adultos
Clase III esquelética en dentición mixta Casos de Éxito - Niños
Canino Mandibular Retenido (33) Casos de Éxito - Dientes Retenidos
Mordida Cruzada y Abierta severa Casos de Éxito - Mordida Cruzada - Adultos
Ortodoncia-Implantes-Bioestética 22 Casos de Éxito - Ortodoncia Plástica (Invisalign/Angel) - Adultos - Casos Multidisciplinares
C Multidisciplinar: Orto Plástica + MASPE+ Corticotomías + Regen Casos de Éxito - Ortodoncia Plástica (Invisalign/Angel) - Mordida Cruzada - Adultos - Cirugía Ortognática - Casos Multidisciplinares
Mordida invertida en clase III (MARPE +Orto Plástica + elásticos Casos de Éxito - Ortodoncia Plástica (Invisalign/Angel) - Mordida Cruzada - Adultos
Clínica Ojeda Perestelo
© Copyright 2026 • Aviso legal y política de privacidad • Política de cookies • Creado por aibosolutions.com

  Calle Peregrina, 14, 35002 Las Palmas de Gran Canaria

Copia_de_Diseno_sin_titulo-removebg-preview

Política sobre cookies

Utilizamos cookies propias (técnicas, son necesarias para que nuestra página web pueda funcionar, no necesitan autorización y son las únicas que tenemos activadas por defecto) y de terceros (para mejorar nuestra página, personalizarla en base a tus preferencias o poder mostrarte publicidad ajustada a tus búsquedas, gustos e intereses personales) que prestan servicios para nuestra página web.

Puedes aceptar todas estas cookies pulsando el botón "Aceptar todo", rechazarlas todas pulsando el botón "Rechazar todo" o configurarlas haciendo clic en el botón "Personalizar". Más información en nuestra Política de Cookies.

Personalizar
Rechazar todo Aceptar todo
Acerca de tu privacidad

Para leer todas las cuestiones necesarias y tener el control sobre ellas en base a tus decisiones personales accede a la página de Política de cookies.

Gestionar las preferencias de consentimiento

Cookies técnicas necesarias Activas siempre
Estas cookies son estrictamente necesarias para que nuestra página web funcione y puedas navegar. Son las que por ejemplo, nos permiten identificarte, darte acceso a determinadas partes restringidas de la página si fuese necesario, o recordar diferentes opciones o servicios ya seleccionados por ti, como tus preferencias de privacidad, por eso, están activadas por defecto. A través de la configuración de tu navegador, puedes bloquear o alertar de la presencia de este tipo de cookies, si bien dicho bloqueo afectará al correcto funcionamiento de las distintas funcionalidades de nuestra página web.
Cookies de seguridad
Las cookies y tecnologías similares que se usan con fines de seguridad ayudan a autenticar a los usuarios, prevenir el fraude y protegerte cuando interactúas con un servicio.
Cookies de funcionalidad
Las cookies y tecnologías similares que se usan con fines de funcionalidad te permiten acceder a funciones esenciales de un servicio. Se consideran esenciales, por ejemplo, recordar las elecciones y las preferencias (como el idioma que has elegido); almacenar la información relacionada con la sesión (como el contenido de un carrito de la compra); habilitar funciones o realizar tareas que solicites; y las optimizaciones de los productos que ayudan a mantener y mejorar ese servicio.
Cookies de personalización
Las cookies y tecnologías similares que se usan con fines de personalización mejoran tu experiencia proporcionándote contenido y funciones personalizados, dependiendo de tu configuración de g.co/privacytools o de la configuración de la aplicación o dispositivo.
Cookies de análisis
Las cookies y tecnologías similares que se usan con fines analíticos ayudan a recoger datos que permiten a los servicios entender cómo interactúas con un servicio en particular. Esta información se usa para mejorar el contenido de los servicios y sus funciones, y así ofrecerte una mejor experiencia.
Cookies de publicidad
Permiten usar cookies con fines publicitarios, como publicar y renderizar anuncios, personalizar anuncios (según la configuración de anuncios que tenga el usuario), limitar el número de veces que se muestra un anuncio a un usuario, ocultar anuncios que el usuario ha indicado que no quiere volver a ver y medir la eficacia de los anuncios.
Guardar preferencias
Rechazar todo Aceptar todo