Clase II severa en Mandíbula Hipoplásica

Paciente que consulta porque tiene dificultad para respirar por la nariz y mantener la boca cerrada.

Decidimos realizar un tratamiento de Cirugía Ortognática Bimaxilar con Biavance y Ortodoncia.

La intervención quirúrgica ha sido realizada por el equipo del Dr Hdez-Alfaro.

La planificación Ortodóncia asociada a la Cirugía que debía llevar la paciente se realizó con brackets y extraciones (Sistema Damon).

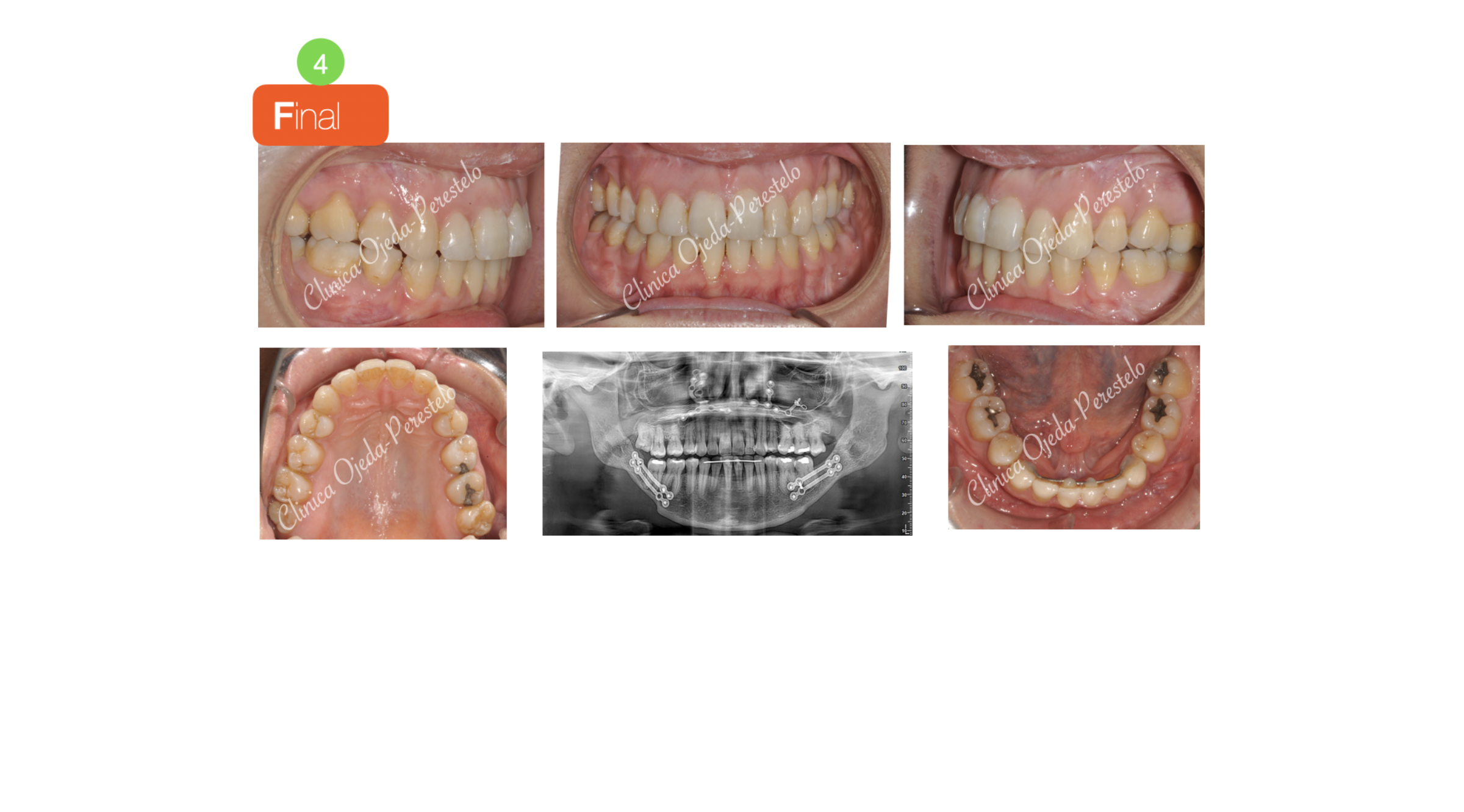
Quisiéramos destacar la mejora en la sonrisa y en la calidad del sueño experimentada por la paciente. Su perfil y su competencia labial ha mejorado de manera considerable, pudiendo la paciente respirar a boca cerrada. Presentamos la estabilidad del caso a 7 años.