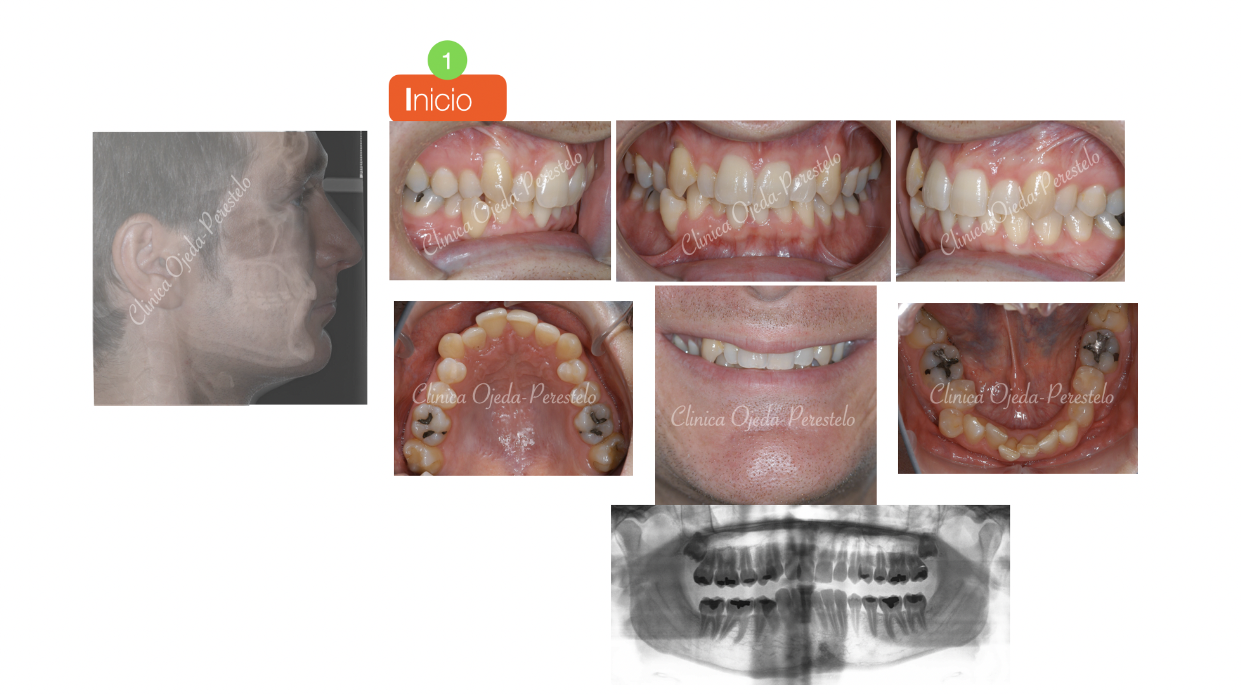
Caso Ortodoncia Lingual Superior con Vestibular Inferior

La Ortodoncia lingual es un tipo de tratamiento que en la actualidad se demanda menos entre nuestros pacientes pero que todavía continua siendo una opción muy válida para algunos pacientes adultos.

Presentamos un caso tratado con brackets superiores colocados por lingual y brackets inferiores por vestibular,opción preferida por la mayoría de los pacientes, donde nuestros objetivos fueron:

-1. Alinear y nivelar las arcadas sin extracciones.

-2. Intercuspidar correctamente ambos maxilares.

-3. Dotarle de una mayor amplitud a la sonrisa.


Queremos destacar la gran mejoría en la sonrisa y en el correcto engranaje dentario (articulación dentaria) observado en este paciente.