Caso Multidisciplinar: Ortodoncia- Coronas sobre Implantes

La rehabilitación oral completa en los pacientes adultos requiere en algunas ocasiones de planes de tratamiento bien coordinados entre las diferentes disciplinas odontológicas. Presentamos un caso de alta complejidad de una paciente que había sido intervenida de una cirugía de Avance Mandibular con remodelamiento condilar.

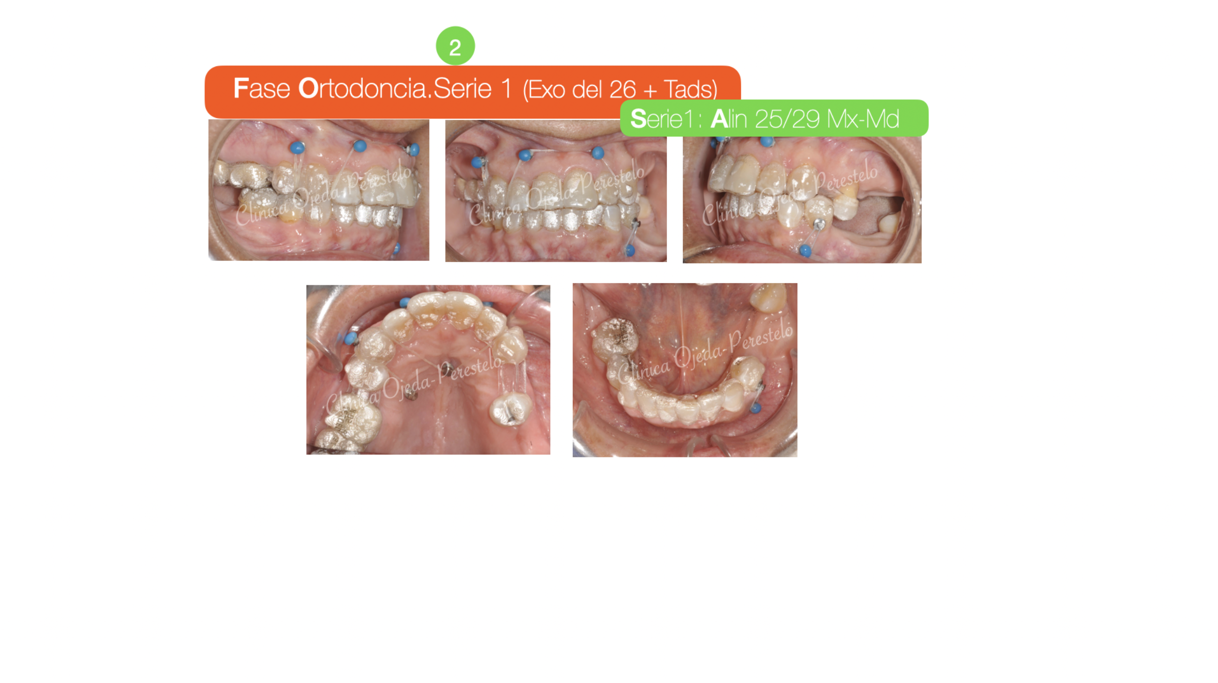
El objetivo de la etapa ortodóncica no era otro que alinear y nivelar sus arcadas dentarias y adecuar los espacios para la colocación (futura) de implantes y pónticos. Al tratarse de una paciente con limitación de apertura y el plano Maxilar inclinado y descendido en el lado derecho, se decidió combinar alineadores transparentes (Sistema Invisalign) con Microtornillos estratégicamente colocados.


Una vez finalizada la fase ortodóncica comenzamos con la colocación de sus implantes y coronas. En total sumaron 81 maxilares y 75 mandibulares que la paciente se cambiaba semanalmente. En la actualidad la paciente se encuentra una vez colocados sus implantes y coronas con una última serie de alineadores a efectos de conseguir un mejor detallado ortodóncico.


Queremos destacar la gran mejoría en la sonrisa en este caso de rehabilitación oral de alta complejidad.Todo ello ha sido posible gracias a una impecable colaboración de la paciente y a el trabajo coordinado de todo nuestro equipo multidisciplinar.