Caso Multidisciplinar: Ortodoncia-Implantes-Pónticos-Bioestética

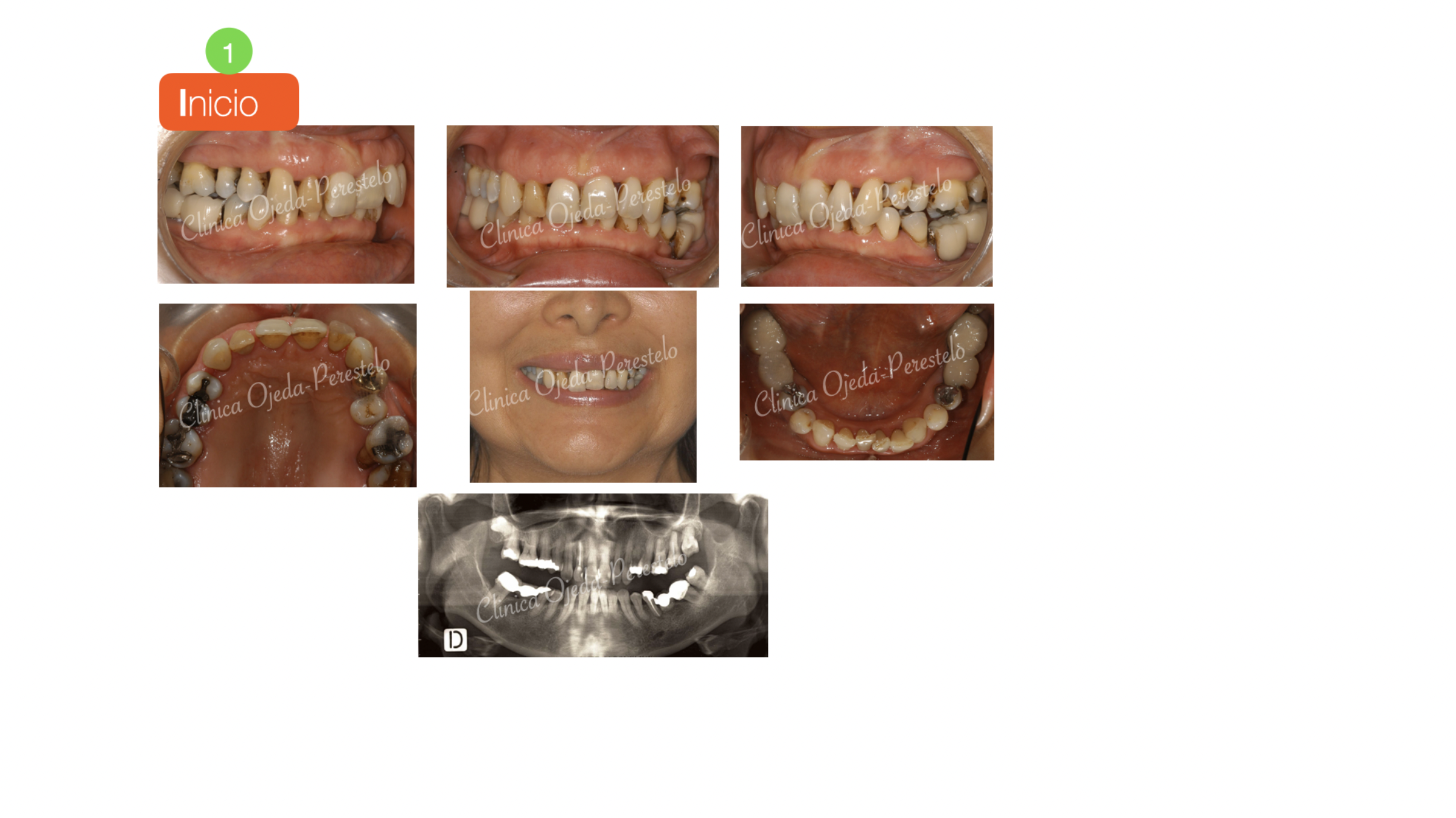
La rehabilitación oral completa en los pacientes adultos requiere en algunas ocasiones de planes de tratamiento bien coordinados entre las diferentes disciplinas odontológicas. Presentamos un caso que tras la fase de higienización periodontal, comenzó su tratamiento de Ortodoncia con brackets. El objetivo de la etapa ortodóncica no era otro que alinear y nivelar sus arcadas dentarias en todas aquellas piezas con soporte radicular y adecuar los espacios para la colocación (futura) de implantes y pónticos. Al tratatarse de una paciente con enfermedad periodontal y pérdida ósea es crítico implementar un sistema de fuerzas ortodóncias leves (Sistema Damon). La paciente ha de  acudir a sus controles periodontales cada 4 meses durante la fase ortodóncica. (Dr Andrés García)


Una vez finalizada la fase ortodóncica comenzamos con la colocación de sus implantes y pónticos. La última etapa de este tratamiento interdisciplinar consistió en la colocación de carillas de porcelana en el sector anterosuperior (Bioestética) a excepción de la pieza 12 donde colocamos una corona de porcelana. (Dra Sara Stankova)


Queremos destacar la gran mejoría en la sonrisa en este caso de rehabilitación oral de alta complejidad donde 5 disciplinas odontológicas han estado sabiamente coordinadas. Creemos que solo de esta manera podemos conseguir este gran impacto estético-facial.