Asimetría Facial en Clase III ósea y C.Ortognática

Paciente que consulta por clase III ósea con asimetría facial y mordida cruzada e invertida. Presenta una ausencia de la pieza 46.

La paciente quiere cambios faciales y decidimos realizar una primera fase de Ortodoncia prequirúrgica consistente en centrar los incisivos sobre su base ósea y cerrar el espacio de la extracción. (Sistema Damon)

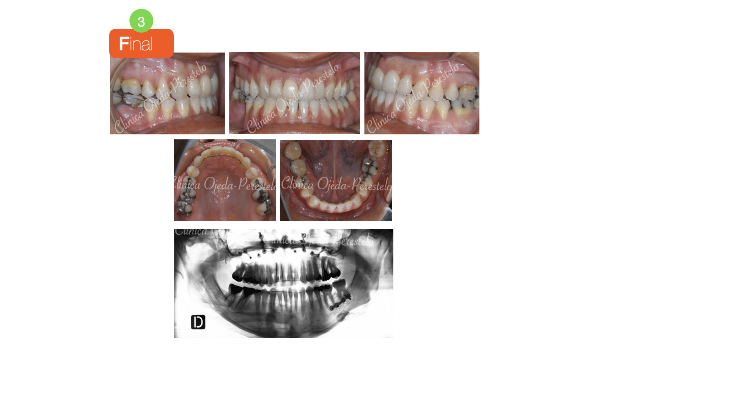
La intervención quirúrgica ha sido realizada por el equipo del Dr Hdez-Alfaro y se planificó con Lefort y Avance del Maxilar conjuntamente con Osteotomia Sagital de Rama para centrado y retrusión Mandibular unilateral hacia la izquierda. Quisiéramos destacar la mejoría en el perfil, su sonrisa y en su articulación dentaria tras finalizar el tratamiento. Presentamos la estabilidad del caso 20 años después.