Ortodoncia-Implantes-Bioestética 22

La rehabilitación oral completa en los pacientes adultos requiere en algunas ocasiones de planes de tratamiento bien coordinados entre las diferentes disciplinas odontológicas. Presentamos un caso que recibió tratamiento multidisciplinar de Ortodoncia con Implantes,Prótesis y Odontología Restauradora (Bioestética 22).

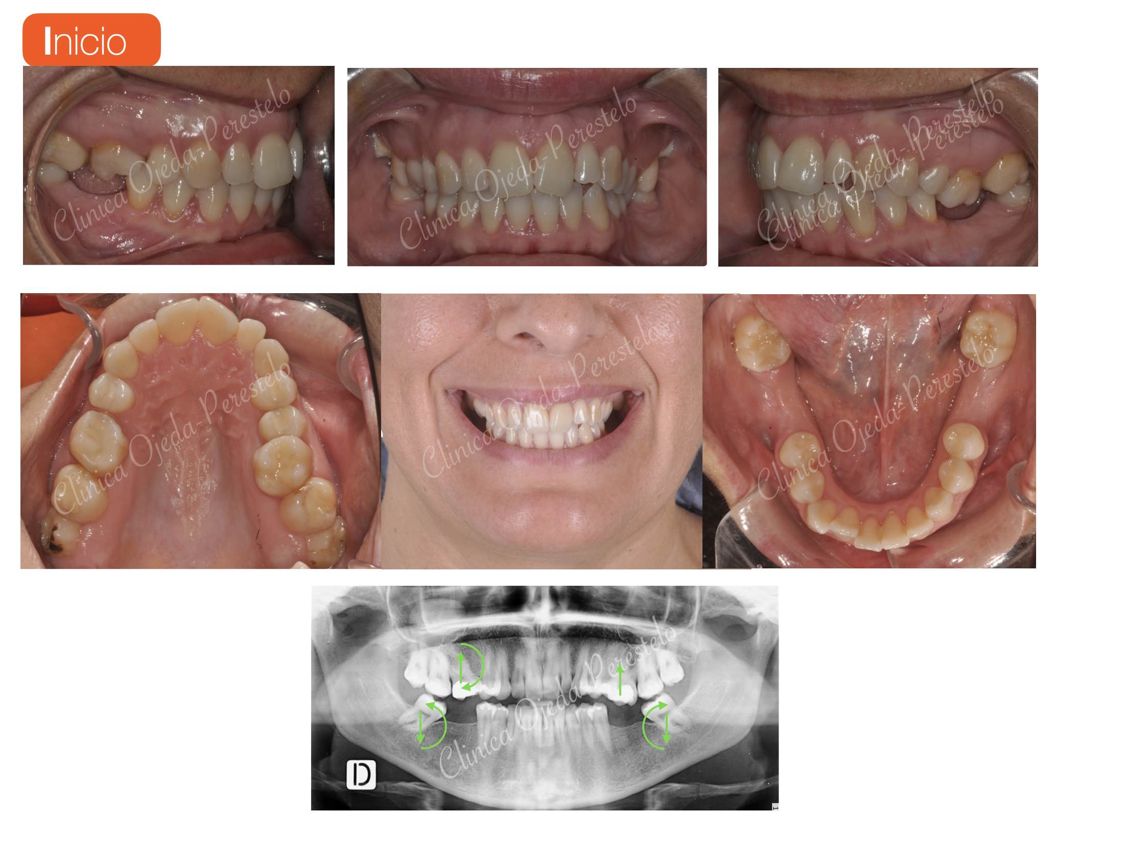
Decidimos comenzar tras la fase de Higienización Bucal  con el tratamiento de ortodoncia Prealineadores. La idea que hay detrás de esta miniortodoncia preliminar es disminuir el número de alienadores totales en torno a un 25%. Esta estrategia la denominamos hibridación y esta destinada a enderezar e intruir de los molares. (Dr Ojeda-Perestelo)

A continuación realizamos la alineación y nivelación de las arcadas dentarias (Dr Ojeda-Perestelo) y adecuamos los espacios para la colocación de implantes en posición 46,36,37 (Dr Acorán Borges). Además se decidió dotarle a la pieza 22 (microdóntica) de una proporción similar a la pieza 12 con un microrelleno de la misma (Dra Trinidad Gandía)


Queremos destacar la gran mejoría de la sonrisa acompañada de un correcto engranaje dentario en 4 series de  alineadores superiores e inferiores. En total sumaron 118 Maxilares y 99 Mandibulares que la paciente se cambiaba semanalmente. Una vez finalizada la fase ortodóncica la paciente procedió a colocarse sus implantes y coronas. Finalmente decidimos restaurar la pieza 22 a efectos de mimetizarla con la 12 a efectos de armonizar más su sonrisa.