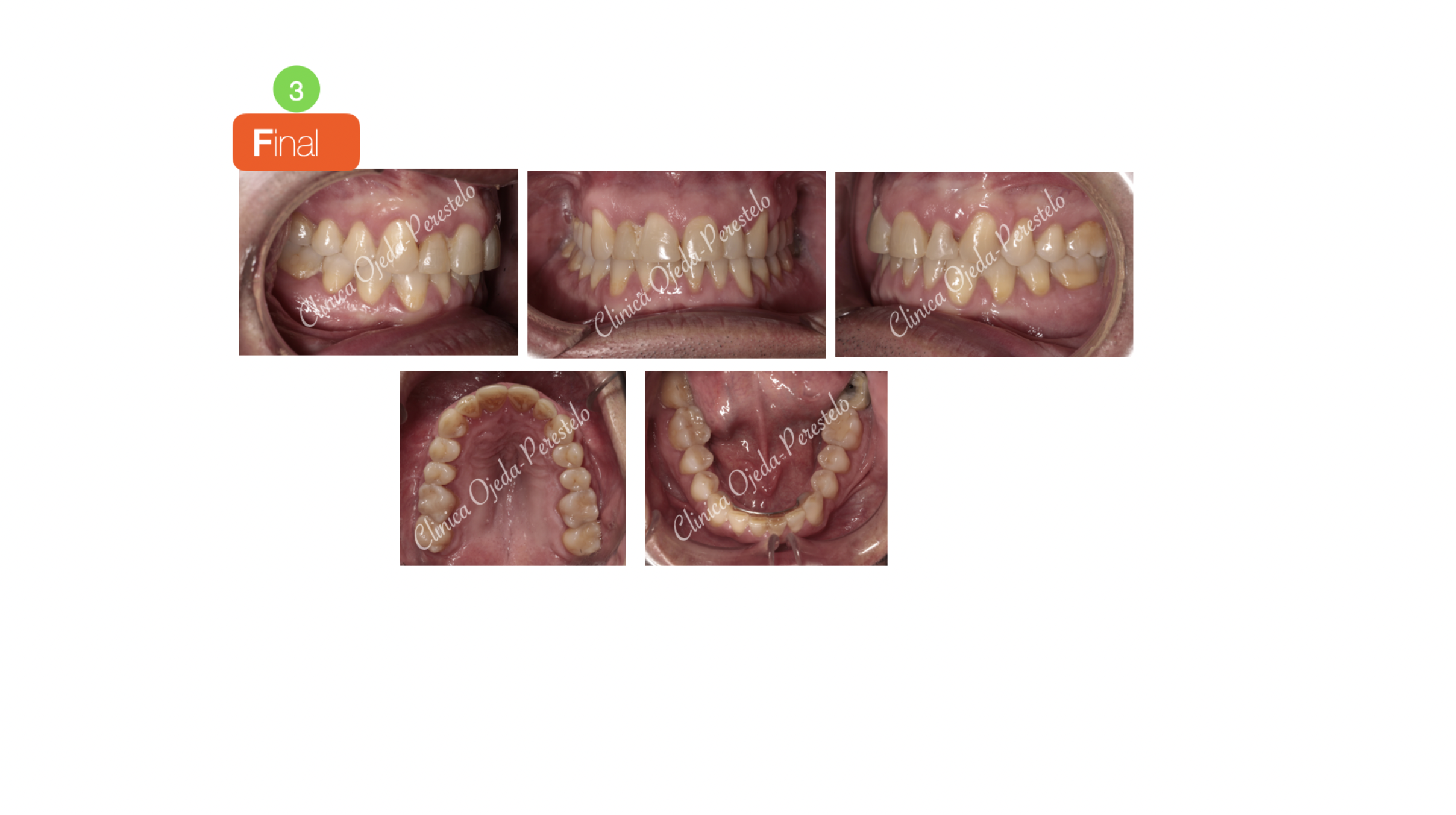
Mordida Cruzada Unilateral con Apiñamiento Severo

Los alineadores transparentes nos permiten corregir casos complejos como en este paciente con mordida cruzada y con un incisivo lateral muy palatinizado.

Queremos destacar la mejora en la amplitud de la sonrisa con un correcto engranaje dentario y centrado de las lineas medias. Todo ello se ha realizado con 147 alineadores superiores y 113 inferiores a cambio semanal combinandolo con elásticos intermaxilares. La pieza 12 presenta un pequeño remodelado del margen gingival (gingivectomia).