Mordida Cruzada Bilateral

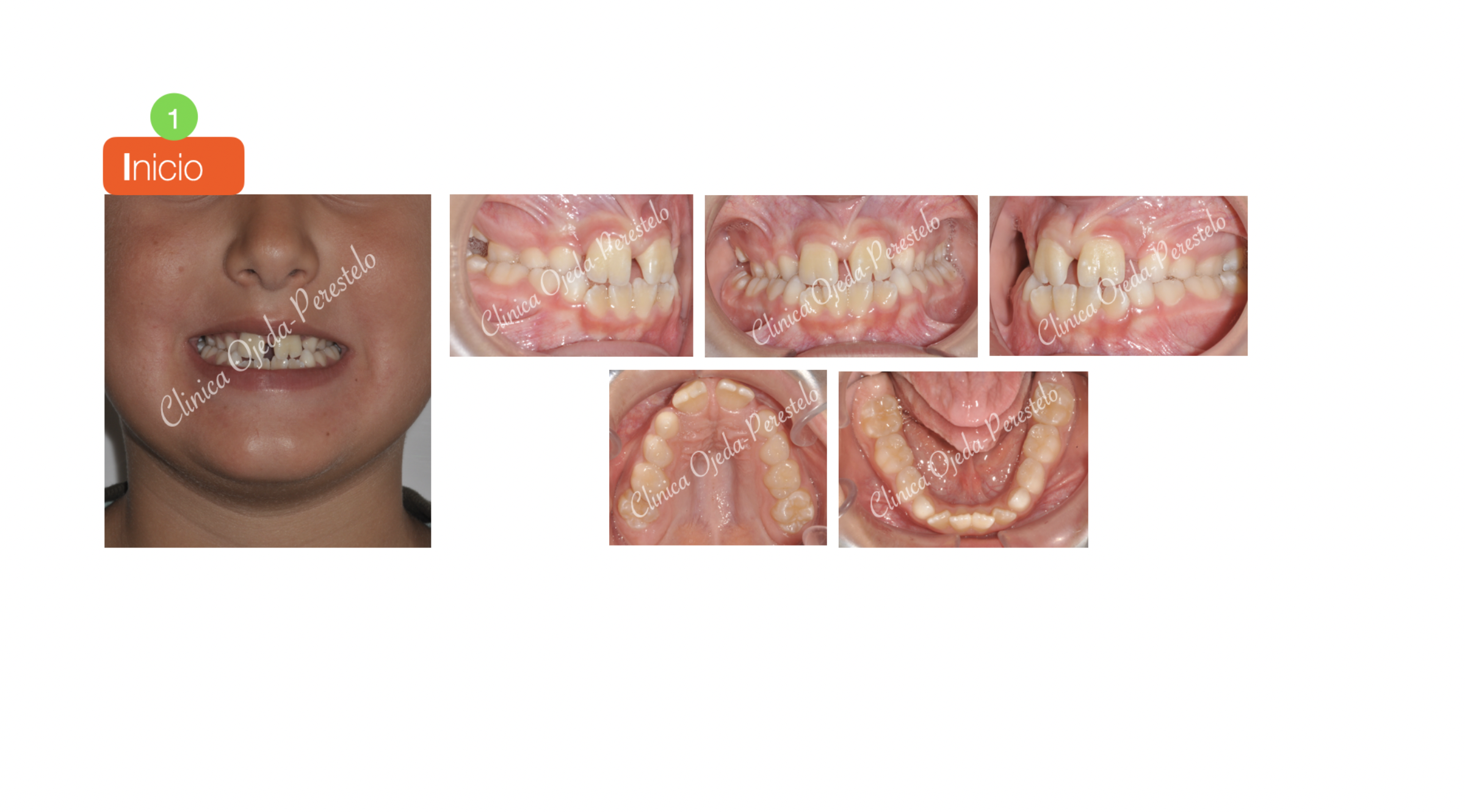
Presentamos a este niño respirador bucal y roncador con Mordida cruzada Bilateral. Decidimos colocarle un Disyuntor Dentosoportado con ganchos para Máscara Facial. Una vez terminada la fase Ortopédica (4 Meses ),comenzamos con la alineación y nivelación de los 4 incisivos con brackets superiores e inferiores (2x4 ). Quisiéramos destacar la mejoría del paciente en la función respiratoria, deglutoria y masticatoria. Sus ronquidos han desaparecido y se ha conseguido una gran amplitud en la sonrisa.