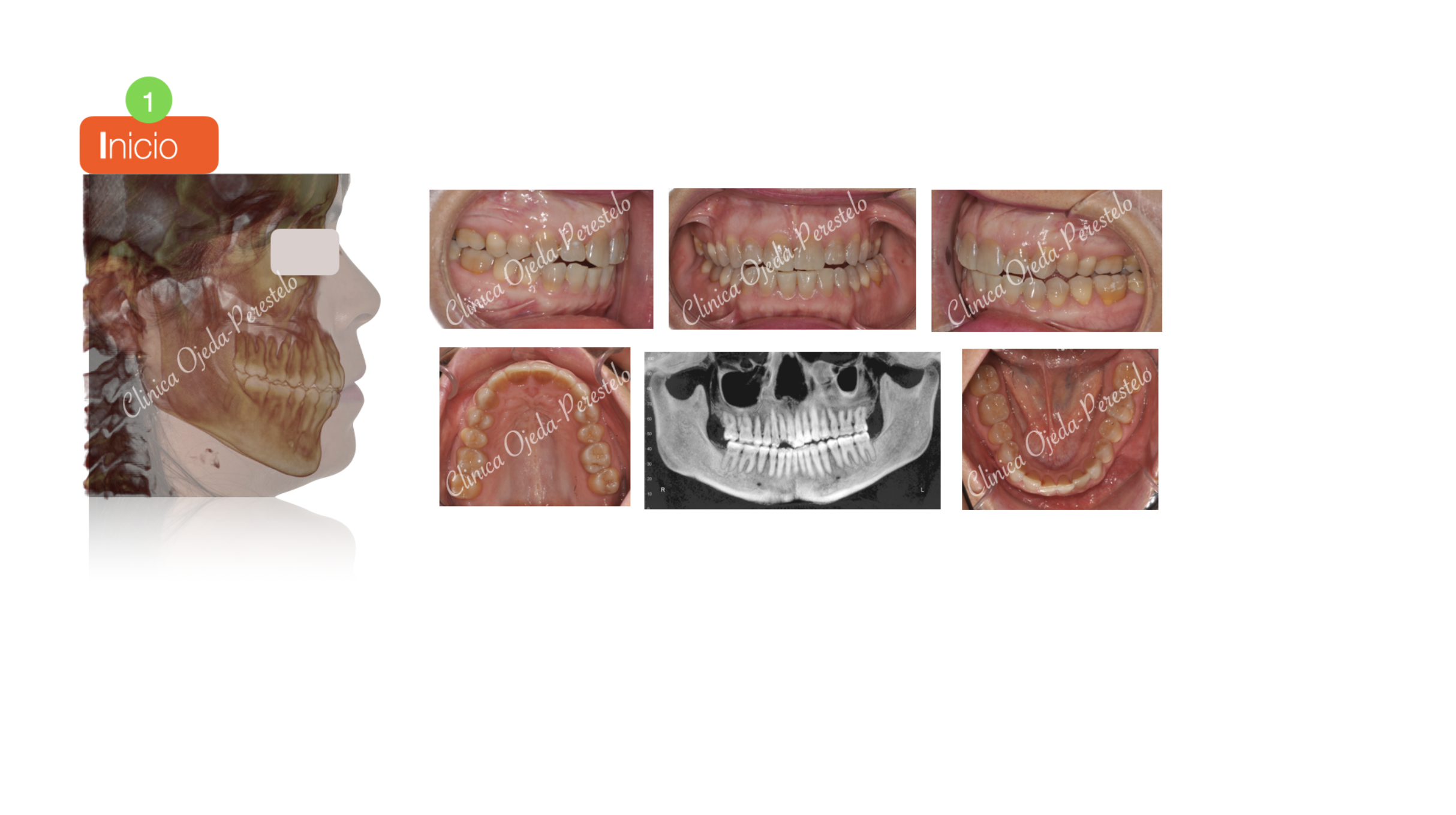
Mordida Cruzada con dolor Craneofacial

Presentamos este caso con mordida cruzada e inestabilidad oclusal que le ocasionaba trastornos y dolores craneofaciales. La paciente ha llevado Microtornillos a efectos de mejorar la inclinación del plano de mordida combinandolo con alineadores y elásticos inntermaxilares.

Finalmente quisiéramos destacar la mejora de la sonrisa, el centrado de las lineas medias, la correcta articulación dentaria además de la desaparición de toda la sintomatología dolorosa a nivel articular y muscular.

El objetivo se ha alcanzado con 56 alineadores superiores y  42 alineadores inferiores con cambio semanal. Le hemos realizado un masking dental en algunas piezas con la idea de dotarle de una oclusión más firme y una mejor estética dental a la paciente.(Bioestética aditiva)