Premolar Mandibular Retenido (35)

Presentamos a un paciente adolescente con el segundo premolar mandibular (35) retenido y sin posibilidad alguna de erupcionar de manera natural.

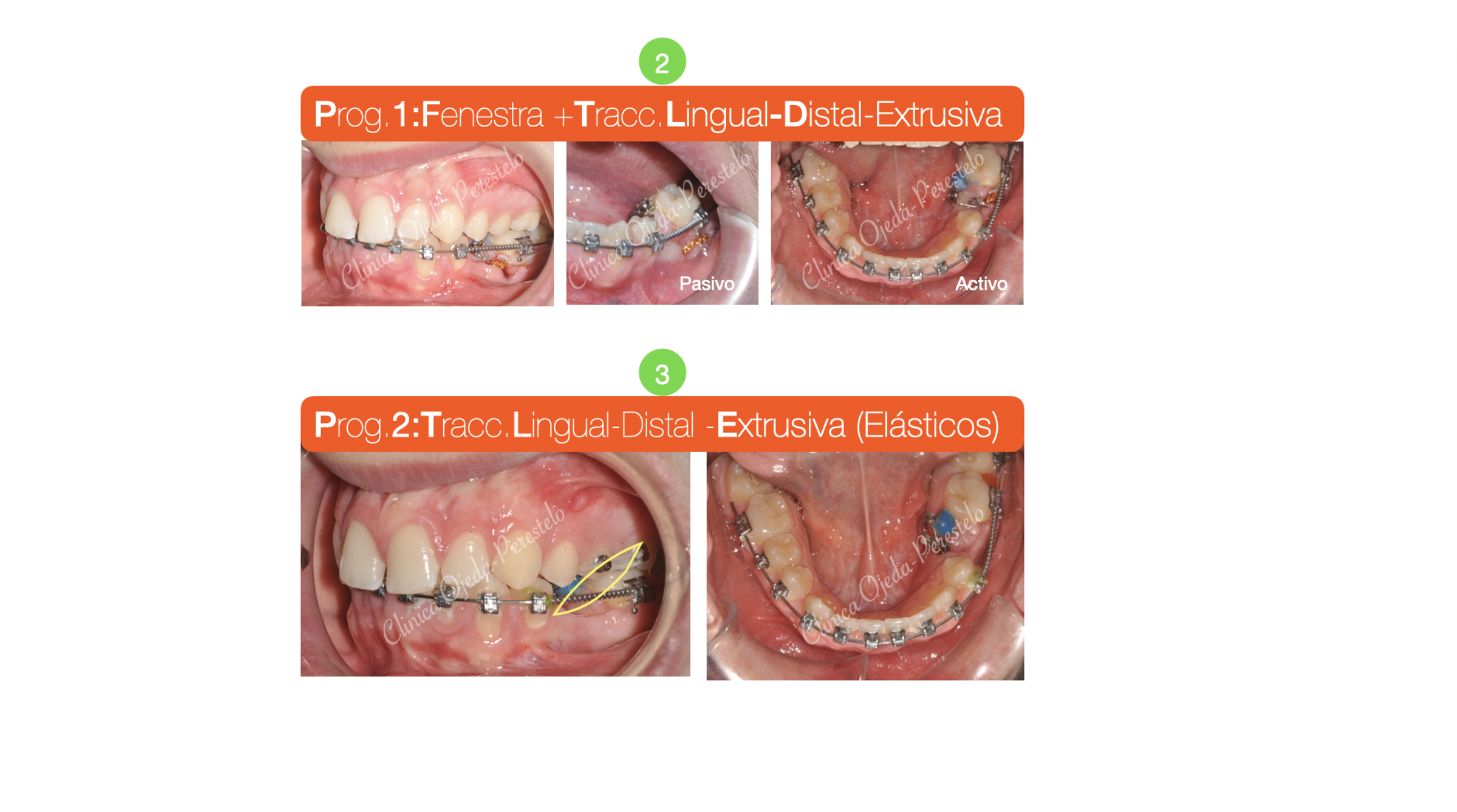
Su estudio detallado nos confirma  que se encuentran próximo al borde mandibular y por la cara vestibular. Decidimos fenestrarlo e implementar una combinación de vectores extrusivo-distal y lingual hasta su correcta reubicación dentro de la arcada utilizando como anclaje 1MT con un resorte fabricado a medida. Este protocolo nos permite proteger de posibles reabsorciones radiculares a los dientes de apoyo.

Una vez que el premolar apareció en la arcada terminamos de alinearlo-nivelarlo con brackets ayudándonos de elásticos y 2MT colocados en la arcada antagonista.

Hoy en día los TADs nos han facilitado y simplificado mucho la reubicación de los dientes retenidos y nos han permitido desarrollar estrategias biomecánicas con un mínimo sufrimiento en los dientes adyacentes/apoyo en relación a los procedimientos tradicionales.